تحریر: شاہد شکیل
الفا۔ون کسی فلم ،سیاسی ، غیر سیاسی یا مذہبی تنظیم کا نام نہیں بلکہ ایک ایسی خطرناک بیماری ہے جو دنیا بھر میں کئی بچوں کے پیدا ہوتے ہی جنم لیتی ہے عام طور پر اس بیماری کو ماہرین نے موروثی بیماری قرار دیا ہے تاہم کئی افراد کو تیس اور چالیس سال کی عمر میں بھی لا حق ہو سکتی ہے۔طبی زبان میں اسے اینٹی ٹرائیسپین کہا جاتا ہے،الفا ۔ون عام طور پر جنیاتی تبدیلی سے واقع ہوتی اور اس کے کچھ خلیات ماں اور باپ کی طرف سے وجود میں آتے ہیں یعنی کئی انسانوں کو یہ بیماری وراثت میں ملتی ہے، ماہرین کا کہنا ہے اس کے بارے میں واضح طور پر بہت کم علم میں آتا ہے یا طویل عرصے بعد ٹیسٹ کرنے سے پتہ چلتا ہے۔
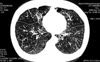
الفا۔ون کئی بچوں میں پیدائشی طور پر جگر کے مخصوص حصوں میں پائی جاتی ہے جو دیگر مادہ یا خلیات کے حفاظتی میکانزم کے خلاف کام کرتے ہیں الفا ۔ون کو پھیپھڑوں میں نمایاں طور پر جراثیم اور دھول کے ذرات پائے جانے سے محسوس کیا جا سکتا ہے ،جس سے سانس لینے میں دشواری اور جسم کے دیگر اعضاء میں دفاعی میکانزم پر اٹیک ہونے سے عوامل ظاہر ہوتے ہیں انسان کا دفاعی میکانزم عام طور پر مضبوط ہوتا ہے تاکہ خطرناک وائرس یا سفید ذرات جسم میں شامل ہو کر کسی بیماری کو جنم نہ دیں اور اس دفاعی عمل یا میکانزم کو طبی زبان میں نیوٹرو فل اِلیسٹیٹ کہا جاتا ہے۔
یہ میکانزم صحت مند افراد کے دفاعی جسمانی نظام میں کسی قسم کی بیماری کو روکنے میں کامیاب رہتا ہے اور خاص طور پر الفا ۔ون کا مقابلہ کرتا ہے لیکن کمزور جسمانی نظام میں پھیپھڑوں کو شدید نقصان پہنچاتا ہے جس سے پھیپھڑوں میں پائے جانے والے خلیات کا ضیاع ہوتا ہے ،سانس لینے میں دشواری اور تمام تر لچک دار جسمانی سٹرکچر کو نقصان پہنچتا ہے علاوہ ازیں ہائپر انفیکشن سے آکسیجن کی کمی واقع ہونے سے جسمانی نالیوں کی انڈر سپلائی میں روکاوٹ پیدا ہوتی ہے اور ابتدا کھانسی سے ہونے کے بعد سانس لینے میں دشواری،بلغم وغیرہ کے علامات پائے جاتے ہیںجو بعد ازاں دمے کی بیماری میں مبتلا کر سکتے ہیں۔ الفا۔ون نہ صرف پیدائشی بلکہ کبھی کبھی تیس اور چالیس سال کی عمر میں بھی شروع ہوسکتی ہے جس سے جگر متاثر ہو تا ہے۔
دنیا بھر میں تقریباً دس فیصد نوزائدہ بچے ہیپاٹائٹس میں مبتلا ہوتے ہیں اور اگر برقت علاج نہ کیا جائے تو یرقان کے علاوہ دمے کا شکار بھی ہو سکتے ہیں۔کئی برسوں سے الفا۔ون اور جنیاتی تبدیلیوں پر ریسرچ اور تشخیص کی جا رہی ہے اور کامیابی بھی حاصل ہوئی ہے مثلاً ڈاکٹرز ٹیسٹ کیلئے خصوصی پیپرز سٹرپس پر خون کے چند قطرے لینے اور خشک ہونے کے بعد خصوصی لیبارٹریز میں بھیجتے ہیں اور چوبیس گھنٹوں کے اندر نتائج حاصل ہو جاتے ہیں، ماہرین کا کہنا ہے بچوں میں الفا ۔ون پائے جانے کے زیادہ امکانات صرف اسی صورت میں ظاہر ہوتے ہیں کہ اگر والدین تمباکو نوشی کرتے ہوں۔
کیونکہ تمباکونوشی ایک ایسا زہر ہے جس سے ماں کے بطن میں ہی بچے یعنی ایمبریو کو نقصان پہنچنا شروع ہو جاتا ہے جبکہ دوسری طرف تمباکو نوشی کرنے والے افراد الفا۔ون میں مبتلا ہو کر دس برس اپنی زندگی کم کرتے ہیں کیونکہ الفا۔ون کئی جسمانی اورگان میں شامل ہو کر کئی اقسام کی انفیکشن کرنے کے علاوہ دل اور پھیپھڑوں کو تباہ کرتا ہے اکثر اوقات جگر کی ٹرانسپلانٹ بھی کی جاتی ہے جو زندگی کیلئے رسک ثابت ہوتی ہے۔ماہرین کا کہنا ہے تمباکو نوشی سلو پوائزن ہے اسے فوری ترک کیا جائے اور طویل عمر تک زندگی سے انجوائے کریں۔
تحریر: شاہد شکیل











